
Guarire dalla paradontite
Analisi di un caso studio reale tra terapia e collaborazione del paziente
La parodontite, come abbiamo visto nell’articolo precedente, è una patologia cronica che spesso non si manifesta a pieno nelle sue fasi iniziali.
Oggi vediamo come nel caso clinico di una nostra paziente, con la giusta strategia terapeutica e una stretta alleanza tra medico e paziente, i tessuti siano tornati in salute.
Diagnosi e sondaggio parodontale
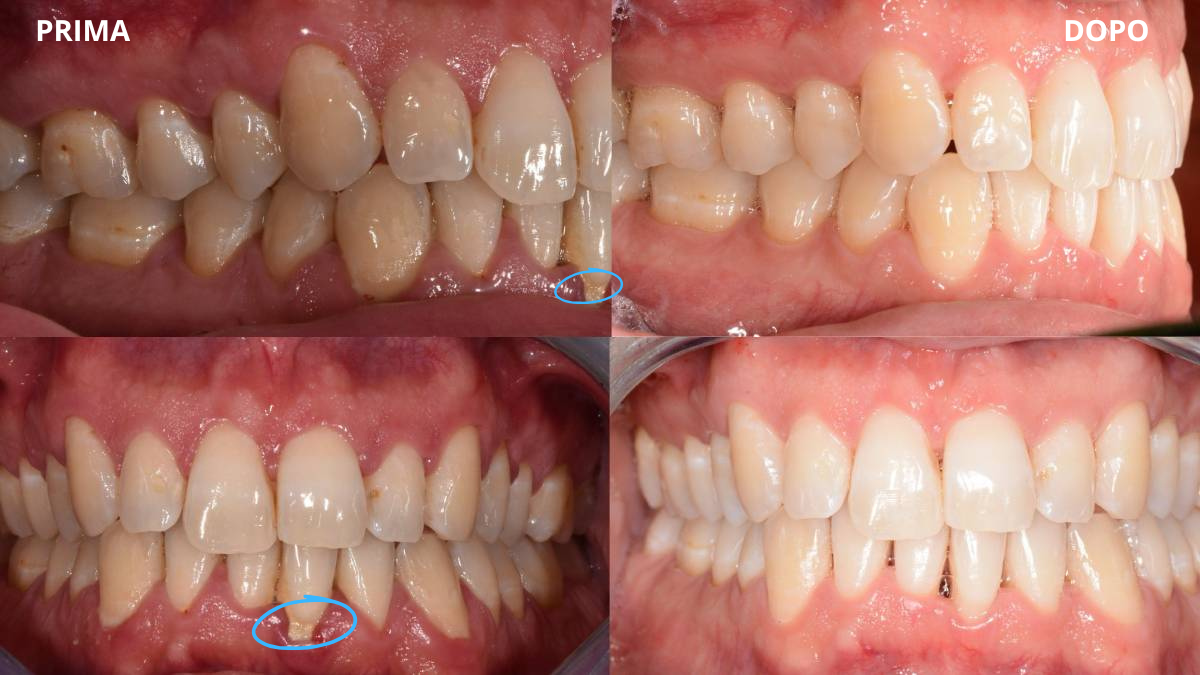
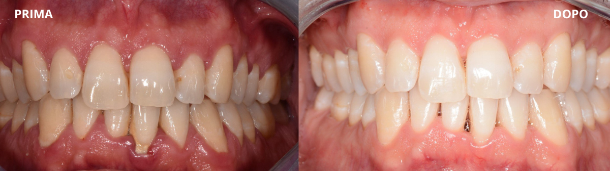
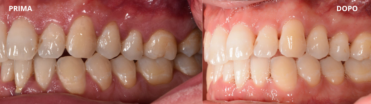
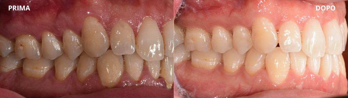
Il paziente si è presentato in studio riportando fenomeni di sanguinamento gengivale frequente e recessioni gengivali.
Con il primo sondaggio parodontale, è stato mappato completamente lo stato di salute dei tessuti circondanti il dente. La sonda ha rilevato una situazione piuttosto critica:
- Profondità di sondaggio: numerose tasche parodontali con valori compresi tra i 5 e i 7 mm, con un picco di 8 mm sul quadrante inferiore destro. Il valore in un paziente sano non supera i 3 mm.
- Indice di sanguinamento al sondaggio: presente nel 54% dei siti analizzati, indice di un’infiammazione diffusa e acuta.
- Presenza di placca: 54%
Il percorso terapeutico
Al fine di fermare la progressione della malattia e prevenire una potenziale perdita dei denti, abbiamo pianificato e seguito un protocollo di terapia parodontale non chirurgica suddiviso nelle seguenti fasi:
- Igiene preparativa – dicembre 2024: è stata svolta una seduta di igiene professionale sopragengivale per abbattere inizialmente la carica batterica.
- Trattamento per quadranti – gennaio/febbraio 2025: E’ stata eseguita l’igiene approfondita/profonda in quattro sedute distinte, distanti circa una settimana l’una dall’altra. Tale intervento ha permesso di rimuovere il tartaro sottogengivale e il biofilm batterico annidato nelle tasche profonde, levigando la superficie della radice per favorire il riattacco dei tessuti.
- Fase di rifinitura e deplaquing – maggio 2025: in questa fase è stata rimossa la placca residua e monitorata la risposta dei tessuti durante la guarigione.
Parte del successo è da imputare alla collaborazione del paziente, che ha compreso da subito l’importanza dell’igiene quotidiana della bocca.
Prima del trattamento, il paziente limitava la sua igiene allo spazzolamento manuale, trascurando gli spazi interdentali. Sotto nostre indicazioni, ha introdotto l’uso imprescindibile del filo interdentale e dello scovolino. Questa nuova abitudine ha permesso di mantenere le condizioni del lavoro svolto in studio, impedendo ai batteri di colonizzare nuovamente le tasche in via di guarigione.



I risultati
A distanza di pochi mesi dalla prima visita, il sondaggio di rivalutazione ha confermato il successo clinico:
- Sanguinamento al sondaggio: crollato allo 0%. L’infiammazione gengivale è stata completamente sedata.
- Indice di Placca: ridotto al 7% .
- Chiusura delle tasche: quasi tutti i valori sono rientrati nel range di salute (1-3 mm).
Il paziente seguirà richiami periodici personalizzati per evitare recidive.

Conclusione
Questo case study dimostra che la parodontite non è una “condanna inguaribile”. Se intercettata in tempo e trattata con protocolli scientifici rigorosi, è possibile stabilizzare il processo e salvare il sorriso originale.